
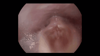
Beatboxer Tom Thum had ENT doctor and laryngeal surgeon Dr Matthew Broadhurst shine an endoscopic camera down his throat while beatboxing: "I wanted to find out how my larynx functioned when beatboxing compared to how it functions normally with speech, and whether or not there were any abnormalities in my laryngeal anatomy. I also had very little idea of what the inside of my throat and all my noise producing mechanisms actually looked like. The results were fascinating yet horrifyingly graphic and will probably make a few people spew in their laps." (via JWZ)